权威解读

发布时间:2018-06-12   来源:健康网    
字号:

沙特日增10例中东呼吸综合征病例 怎样预防中东

沙特日增10例中东呼吸综合征病例 怎样预防中东

沙特阿拉伯卫生部18日通报说,在过去24小时内,该国有10人被确诊患上中东呼吸综合征,另有1人死亡。至此,沙特......

权威发布

2018-05-28

权威解读

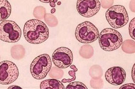
为什么医生经常让你验血?白血病如何尽早发现

为什么医生经常让你验血?白血病如何尽早发现

从正常人取一滴血,里面主要是红细胞,也有白细胞。我们去化验,首先医生经常要让你去验血,验什么呢?就看你......

2018-05-28

酒精擦浴退烧不可取 宝宝发烧可以用什么药?

酒精擦浴退烧不可取 宝宝发烧可以用什么药?

近日深圳一对父母慌慌张张将9个月大的儿子送至妇幼保健院儿科抢救室。紧急就医的原因是,这个男宝宝已发热3天......

2018-05-28

85后医生发现大肠癌细胞“帮凶” 怎样预防大肠

85后医生发现大肠癌细胞“帮凶” 怎样预防大肠

大肠癌细胞用药后无法“全军歼灭”的重要原因终于找出来了。近日,中山六院的医生发现了大肠癌细胞的“帮凶”......

2018-05-28

只吃素也会得脂肪肝 脂肪肝日常护理要注意什么

只吃素也会得脂肪肝 脂肪肝日常护理要注意什么

为了躲避“三高”的袭击,40岁的张先生近年来一直以素食为主,甚少吃肉,可前段时间体检,竟然查出患上了脂肪......

2018-05-28

槽牙掉光患动脉硬化风险高 警惕动脉硬化危险信

槽牙掉光患动脉硬化风险高 警惕动脉硬化危险信

日本厚生劳动省的一个研究小组近日报告说,他们通过调查发现,如果老年人的臼齿全部掉光,那么他们患动脉硬化......

2018-05-28

嫉妒之心 如何处理

嫉妒之心 如何处理

都知道有一颗嫉妒之心的女人是很正常的,那么嫉妒分不分男女呢?...

2018-05-28

塞内加尔现一例埃博拉死亡病例 埃博拉预防知多

塞内加尔现一例埃博拉死亡病例 埃博拉预防知多

过去的一年,被埃博拉肆虐的西非三国中,塞内加尔基本上躲过了西非的埃博拉疫情,仅记录了一起死亡案例。日前......

2018-05-28

26岁小伙减肥不成反患淋巴瘤 淋巴癌怎患者样护

26岁小伙减肥不成反患淋巴瘤 淋巴癌怎患者样护

26岁帅小伙刘峰(化名)为让自己更帅,不久前开始刻意减肥,健身、吃减肥药、节食……为了理想中的身材,他吃......

2018-05-28

吃完麻辣美食猛喝冰水易惹上子宫肌瘤

吃完麻辣美食猛喝冰水易惹上子宫肌瘤

每到夏季,大家都离不开各式各样的冷饮,对重庆女孩而言,各式各样的麻辣美食更是冰品的好搭档,一口辣一口冰......

2018-05-28

嗨翻购物季 LG V10双十二好礼轮番来袭

嗨翻购物季 LG V10双十二好礼轮番来袭

活动期间,6999元即可享受至尊套装,含LG V10一部,V10 Quick保护套一个,原装电池座充一个,V10原装电池一......

2018-05-28

坐月子期间哪些禁忌新妈妈需要注意

坐月子期间哪些禁忌新妈妈需要注意

产妇坐月子肯定是全家关注的重点,因为这对产妇的健康和新生儿的健康具有着影响。但是如何才能做好月子,这是......

2018-05-28

全球人均预期寿命增至71.5岁

全球人均预期寿命增至71.5岁

英国知名医学期刊《柳叶刀》17日在其网站上发布《2013年全球疾病负担报告》,称全球人均寿命从1990年的65.3岁......

2018-05-28

研究称经常旅行或致深静脉血栓 下肢静脉曲张如

研究称经常旅行或致深静脉血栓 下肢静脉曲张如

研究表明,旅游爱好者患深静脉血栓的风险较大,因此专家建议旅游爱好者减少外出频率。研究人员称,经常外出旅......

2018-05-28

牙齿发育“故障”可引发下颌骨肿瘤 诊断颌骨肿

牙齿发育“故障”可引发下颌骨肿瘤 诊断颌骨肿

下颌骨畸形、牙齿松动移位?年轻人遇到这种情况,要当心,可能是成釉细胞瘤在作祟。专家指出,这种病与牙体发......

2018-05-28

凤凰时尚推出全新APP识装 汇聚全球时尚

凤凰时尚推出全新APP识装 汇聚全球时尚

要时尚,先识装!12月24日,凤凰时尚()推出全新移动端产品-识装APP,致力打造全球最......

2018-05-28

世界最危险机场 是拿生命在飞翔

世界最危险机场 是拿生命在飞翔

许多飞机事故是发生在机场降落的过程中,很大一部分因素是由机场环境引起的。世界各地有许多奇怪的机场,建在悬......

2018-05-28

怎样才能让中国的经济发展的更好

怎样才能让中国的经济发展的更好

今年两会去产能显然成了热词,那么面对市场的下行压力,各大国企将如何面临去产能,转型后裁撤的公司和下岗的......

图说天下

×
织梦二维码生成器